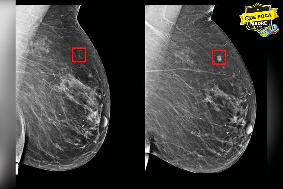
La doctora Marlet Themis Martínez Archundia, del Instituto Politécnico Nacional (IPN), ha sorprendido a la comunidad científica tras sentar las bases de tratamientos alternativos para personas que padezcan cáncer de mama y frenar la metástasis de dicha enfermedad.
Algunos de los fármacos ya utilizados para tratar distintas enfermedades han sido evaluados a través de la biología computacional para identificar las sustancias activas que puedan ser usadas en nuevos tratamientos y mejorar las opciones médicas.
Con apoyo del Consejo Nacional de Humanidades, Ciencias y Tecnologías (Conahcyt), la doctora Marlet Themis inició con el proyecto científico que se enfoca en la búsqueda de las moléculas que puedan frenar la metástasis de las células cancerígenas, y así poder ofrecer a los pacientes otras alternativas médicas que puedan mejorar o terminar con la enfermedad.
Los estudios de acoplamiento molecular arrojaron que los fármacos que intervienen en la metástasis y tiene mayor potencial para inhibir la unión de las moléculas con la loperamida (usado para enfermedades diarreicas) y la glipizida (medicamento para la diabetes tipo 2).
Cuando la loperamida fue evaluada en dos líneas celulares del cáncer de mama, se determinó que en la primera (MCF 7) no existía una respuesta que cambiara la enfermedad, mientras que en la segunda línea de evaluación (MDA MB 231) se observaron mecanismos para detener la migración de las células infectadas.
La doctora Marlet aseguró que los resultados de su proyecto la alientan a profundizar las investigaciones para ampliar y aplicar la loperamida a concentraciones diferentes que ayuden a reducir la metástasis en el cáncer de mama.
Asimismo, la experta politécnica aseguró que, aunque la loperamida haya tenido éxito en la prueba toxicológica, el cáncer posee distintos mecanismos y grupos de células, por lo que existen otras líneas celulares del cáncer de mama en las que este fármaco no pueda funcionar de la misma manera.











